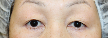
Case1. 両側眼瞼下垂を伴うサンケンアイ

施術前 (開瞼)

1カ月後 (開瞼)

施術前 (閉瞼)

1カ月後 (閉瞼)
施術前の状態

通常時の状態

最大に目を開いた状態
眼瞼下垂を伴うサンケンアイの症例です。目の上の凹み(サンケンアイ)の症状により、年齢よりも老けて診られるということでした。所見として、目の上の凹み(サンケンアイ)、重瞼ラインが広い、また目を大きく開いてもらっても殆ど通常の状態と変わりません。これは眼瞼下垂の状態です。手術は局所麻酔下にて挙筋腱膜再固定術を行いました。
術前デザイン

開瞼時のデザインの位置

閉瞼時のデザインの位置
瞼縁から約6mmにデザインした状態です。このようなサンケンアイの症例では皮膚を切除しません。目が開きにくい原因が皮膚のたるみではないためです。

施術前 (開瞼)

1カ月後 (開瞼)
施術後1カ月では重瞼ラインが下がり、目の開きが良くなっています。また目の上の凹み(サンケンアイ)が改善しています。 かなり若返った印象です。

施術前 (閉瞼)

1カ月後 (閉瞼)
術後1カ月の傷ですが重瞼ラインとして落ち着いています。時間の経過とともにさらに目立たなくなるでしょう。

施術前 (閉瞼)

1カ月後 (閉瞼)
眼瞼下垂によって目が開きにくかったため、術前では前頭筋を使って(眉毛の挙上とおでこのシワ)目を開けていましたが、これらも改善されています。
| 性別 | 女性 |
| 症状 | 両側眼瞼下垂を伴うサンケンアイ |
| 施術名 | 挙筋腱膜再固定術 |
リスク・副作用・合併症
内出血、腫脹、左右差、再発、浅い重瞼線、深い重瞼線、不整な重瞼線(予定外重瞼線)、不整な瞼縁(アーチ)、開瞼抵抗、低矯正(目の開きが悪い)、過矯正(目が開きすぎる)、角膜炎、ドライアイ、傷の哆開(しかい;傷が開く)、瘢痕形成(傷の肥厚や陥凹など傷跡が残る)、中縫いの糸が出てくることがある、縫合糸膿瘍、眼瞼痙攣、抑うつ・不眠など自律神経症状、頭痛、目の奥の痛み、ヘリングの法則、自分が想像していた結果と異なるなどが考えられます
※before & afterの画像は参考画像であり効果や満足度は症例により異なりますのでご了承ください。
Case2. 両側眼瞼下垂(ボトックス注射併用)

施術前(開瞼時)

7.5カ月後 (開瞼時)

施術前(閉瞼時)

7.5カ月後(閉瞼時)
加齢により腱膜性眼瞼下垂が現れた患者様の症例です。特に左目に強い症状があり、日常的におでこを使って眉毛を上げることで視界を確保していました。このため、治療では両目に挙筋腱膜再固定術を施し、さらにおでこへのボトックス注射で筋肉の過剰な動きを抑えました。術後7.5カ月が経過した現在、二重ラインは左右対称に整い、眉毛を動かす必要なく自然に上まぶたを開けられるようになっています。
| 性別 | 女性 |
| 症状 | 腱膜性眼瞼下垂 |
| 施術名 | 挙筋腱膜再固定術+ボトックス |
リスク・副作用・合併症
挙筋腱膜再固定術
内出血、腫脹、左右差、再発、浅い重瞼線、深い重瞼線、不整な重瞼線(予定外重瞼線)、不整な瞼縁(アーチ)、開瞼抵抗、低矯正(目の開きが悪い)、過矯正(目が開きすぎる)、角膜炎、ドライアイ、傷の哆開(しかい;傷が開く)、瘢痕形成(傷の肥厚や陥凹など傷跡が残る)、中縫いの糸が出てくることがある、縫合糸膿瘍、眼瞼痙攣、抑うつ・不眠など自律神経症状、頭痛、目の奥の痛み、ヘリングの法則、自分が想像していた結果と異なるなどが考えられます。
ボトックス注射
内出血、腫脹、左右差、違和感、効きが悪い、効きがよすぎる、上まぶたが下がる、眉毛がはね上がる、眉毛が下がる、笑顔が不自然になる、自分が想像していた結果と異なるなどが考えられます。
※before & afterの画像は参考画像であり効果や満足度は症例により異なりますのでご了承ください。
Case3. 両側眼瞼下垂

施術前(開瞼時)

3カ月後 (開瞼時)

施術前(閉瞼時)

3カ月後(閉瞼時)
| 性別 | 女性 |
| 症状 | 眼瞼下垂 |
| 施術名 | 挙筋腱膜再固定術 |
リスク・副作用・合併症
内出血、腫脹、左右差、再発、浅い重瞼線、深い重瞼線、不整な重瞼線(予定外重瞼線)、不整な瞼縁(アーチ)、開瞼抵抗、低矯正(目の開きが悪い)、過矯正(目が開きすぎる)、角膜炎、ドライアイ、傷の哆開(しかい;傷が開く)、瘢痕形成(傷の肥厚や陥凹など傷跡が残る)、中縫いの糸が出てくることがある、縫合糸膿瘍、眼瞼痙攣、抑うつ・不眠など自律神経症状、頭痛、目の奥の痛み、ヘリングの法則、自分が想像していた結果と異なるなどが考えられます。
※before & afterの画像は参考画像であり効果や満足度は症例により異なりますのでご了承ください。
Case4. 両側眼瞼下垂

施術前(開瞼時)

3カ月後 (開瞼時)

施術前(閉瞼時)

3カ月後(閉瞼時)
| 性別 | 女性 |
| 症状 | 両側眼瞼下垂 |
| 施術名 | 挙筋腱膜再固定術 |
リスク・副作用・合併症
内出血、腫脹、左右差、再発、浅い重瞼線、深い重瞼線、不整な重瞼線(予定外重瞼線)、不整な瞼縁(アーチ)、開瞼抵抗、低矯正(目の開きが悪い)、過矯正(目が開きすぎる)、角膜炎、ドライアイ、傷の哆開(しかい;傷が開く)、瘢痕形成(傷の肥厚や陥凹など傷跡が残る)、中縫いの糸が出てくることがある、縫合糸膿瘍、眼瞼痙攣、抑うつ・不眠など自律神経症状、頭痛、目の奥の痛み、ヘリングの法則、自分が想像していた結果と異なるなどが考えられます。
※before & afterの画像は参考画像であり効果や満足度は症例により異なりますのでご了承ください。
Case5. 両側眼瞼下垂

施術前(開瞼時)

1カ月後 (開瞼時)

施術前(閉瞼時)

1カ月後 (閉瞼時)
| 性別 | 男性 |
| 症状 | 両側眼瞼下垂 |
| 施術名 | 挙筋腱膜再固定術 |
リスク・副作用・合併症
内出血、腫脹、左右差、再発、浅い重瞼線、深い重瞼線、不整な重瞼線(予定外重瞼線)、不整な瞼縁(アーチ)、開瞼抵抗、低矯正(目の開きが悪い)、過矯正(目が開きすぎる)、角膜炎、ドライアイ、傷の哆開(しかい;傷が開く)、瘢痕形成(傷の肥厚や陥凹など傷跡が残る)、中縫いの糸が出てくることがある、縫合糸膿瘍、眼瞼痙攣、抑うつ・不眠など自律神経症状、頭痛、目の奥の痛み、ヘリングの法則、自分が想像していた結果と異なるなどが考えられます。
※before & afterの画像は参考画像であり効果や満足度は症例により異なりますのでご了承ください。
Case6. 両側眼瞼下垂

施術前(開瞼時)

5カ月後(開瞼時)

施術前(閉瞼時)

5カ月後(閉瞼時)
| 性別 | 女性 |
| 症状 | 両側眼瞼下垂 |
| 施術名 | 挙筋腱膜再固定術 |
リスク・副作用・合併症
内出血、腫脹、左右差、再発、浅い重瞼線、深い重瞼線、不整な重瞼線(予定外重瞼線)、不整な瞼縁(アーチ)、開瞼抵抗、低矯正(目の開きが悪い)、過矯正(目が開きすぎる)、角膜炎、ドライアイ、傷の哆開(しかい;傷が開く)、瘢痕形成(傷の肥厚や陥凹など傷跡が残る)、中縫いの糸が出てくることがある、縫合糸膿瘍、眼瞼痙攣、抑うつ・不眠など自律神経症状、頭痛、目の奥の痛み、ヘリングの法則、自分が想像していた結果と異なるなどが考えられます。
※before & afterの画像は参考画像であり効果や満足度は症例により異なりますのでご了承ください。
Case7. 両側眼瞼下垂

施術前(開瞼時)

2カ月後(開瞼時)

施術前(閉瞼時)

2カ月後(閉瞼時)
| 性別 | 男性 |
| 症状 | 両側眼瞼下垂 |
| 施術名 | 挙筋腱膜再固定術 |
リスク・副作用・合併症
内出血、腫脹、左右差、再発、浅い重瞼線、深い重瞼線、不整な重瞼線(予定外重瞼線)、不整な瞼縁(アーチ)、開瞼抵抗、低矯正(目の開きが悪い)、過矯正(目が開きすぎる)、角膜炎、ドライアイ、傷の哆開(しかい;傷が開く)、瘢痕形成(傷の肥厚や陥凹など傷跡が残る)、中縫いの糸が出てくることがある、縫合糸膿瘍、眼瞼痙攣、抑うつ・不眠など自律神経症状、頭痛、目の奥の痛み、ヘリングの法則、自分が想像していた結果と異なるなどが考えられます。
※before & afterの画像は参考画像であり効果や満足度は症例により異なりますのでご了承ください。
Case8. 両側眼瞼下垂

施術前(開瞼時)

1年10カ月後(開瞼時)

施術前(閉瞼時)

1年10カ月後(閉瞼時)
| 性別 | 女性 |
| 症状 | 両側眼瞼下垂 |
| 施術名 | 挙筋腱膜再固定術 |
リスク・副作用・合併症
内出血、腫脹、左右差、再発、浅い重瞼線、深い重瞼線、不整な重瞼線(予定外重瞼線)、不整な瞼縁(アーチ)、開瞼抵抗、低矯正(目の開きが悪い)、過矯正(目が開きすぎる)、角膜炎、ドライアイ、傷の哆開(しかい;傷が開く)、瘢痕形成(傷の肥厚や陥凹など傷跡が残る)、中縫いの糸が出てくることがある、縫合糸膿瘍、眼瞼痙攣、抑うつ・不眠など自律神経症状、頭痛、目の奥の痛み、ヘリングの法則、自分が想像していた結果と異なるなどが考えられます。
※before & afterの画像は参考画像であり効果や満足度は症例により異なりますのでご了承ください。
Case9. 両側眼瞼下垂

施術前(開瞼時)

2年後 (開瞼時)

施術前(閉瞼時)

2年後(閉瞼時)
| 性別 | 男性 |
| 症状 | 両側眼瞼下垂 |
| 施術名 | 挙筋腱膜再固定術 |
リスク・副作用・合併症
内出血、腫脹、左右差、再発、浅い重瞼線、深い重瞼線、不整な重瞼線(予定外重瞼線)、不整な瞼縁(アーチ)、開瞼抵抗、低矯正(目の開きが悪い)、過矯正(目が開きすぎる)、角膜炎、ドライアイ、傷の哆開(しかい;傷が開く)、瘢痕形成(傷の肥厚や陥凹など傷跡が残る)、中縫いの糸が出てくることがある、縫合糸膿瘍、眼瞼痙攣、抑うつ・不眠など自律神経症状、頭痛、目の奥の痛み、ヘリングの法則、自分が想像していた結果と異なるなどが考えられます。
※before & afterの画像は参考画像であり効果や満足度は症例により異なりますのでご了承ください。
Case10. 両側眼瞼下垂

施術前(開瞼時)

5カ月後(開瞼時)

施術前(閉瞼時)

5カ月後(閉瞼時)
| 性別 | 女性 |
| 症状 | 両側眼瞼下垂 |
| 施術名 | 挙筋腱膜再固定術 |
リスク・副作用・合併症
内出血、腫脹、左右差、再発、浅い重瞼線、深い重瞼線、不整な重瞼線(予定外重瞼線)、不整な瞼縁(アーチ)、開瞼抵抗、低矯正(目の開きが悪い)、過矯正(目が開きすぎる)、角膜炎、ドライアイ、傷の哆開(しかい;傷が開く)、瘢痕形成(傷の肥厚や陥凹など傷跡が残る)、中縫いの糸が出てくることがある、縫合糸膿瘍、眼瞼痙攣、抑うつ・不眠など自律神経症状、頭痛、目の奥の痛み、ヘリングの法則、自分が想像していた結果と異なるなどが考えられます。
※before & afterの画像は参考画像であり効果や満足度は症例により異なりますのでご了承ください。
Case11. 片側眼瞼下垂(右)

施術前(開瞼時)

7カ月後(開瞼時)

施術前(閉瞼時)

7カ月後(閉瞼時)

開瞼時の状態

閉瞼時の状態
片眼の眼瞼下垂で悩む患者様の治療です。右の眼瞼下垂を認めます。眼瞼下垂の治療(右目を開きやすくする機能回復)はもちろん、出来る限り左右対称に、さらに仕上がりは綺麗にしないといけません。形成外科の“下垂の修正”のエッセンスと、美容外科の“綺麗に仕上げる”技術を融合し手術を行います。それでは経過を見てみましょう。

施術前

1週間後

1カ月後

7カ月後
術後1週間の状態ではまだ内出血を認めますが、目の開き具合は良くなっています。 術後1カ月でもとても自然な仕上がりです。術後7カ月が経過した状態ですが、きれいな状態を保てています。

施術前 (開瞼)

7カ月後 (開瞼)
施術後7カ月ですがほぼ左右対称に仕上がっています。施術していない左目にあわせるように、年齢相応のたるみを残し修正できています。見た目も機能もしっかり改善されました。患者様からは「目は開きやすくなったし、見ためも自然で嬉しい!」と言っていただけました。
| 性別 | 女性 |
| 症状 | 片側眼瞼下垂(右) |
| 施術名 | 挙筋腱膜再固定術 |
リスク・副作用・合併症
内出血、腫脹、左右差、再発、浅い重瞼線、深い重瞼線、不整な重瞼線(予定外重瞼線)、不整な瞼縁(アーチ)、開瞼抵抗、低矯正(目の開きが悪い)、過矯正(目が開きすぎる)、角膜炎、ドライアイ、傷の哆開(しかい;傷が開く)、瘢痕形成(傷の肥厚や陥凹など傷跡が残る)、中縫いの糸が出てくることがある、縫合糸膿瘍、眼瞼痙攣、抑うつ・不眠など自律神経症状、頭痛、目の奥の痛み、ヘリングの法則、自分が想像していた結果と異なるなどが考えられます。
※before & afterの画像は参考画像であり効果や満足度は症例により異なりますのでご了承ください。
↑
TOP